Beaulieu Square, 11 Centenary Way, Chelmsford CM1 6AU
Call Now WhatsApp
best dentists in chelmsford
best dentists in chelmsford
best dentists in chelmsford

Case Studies

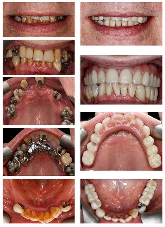
Multiple Treatment

Multiple Treatment

Steve came to the practice looking for options. His previous practice had already informed him that he was going to lose his top teeth, due to advanced chronic gum disease. After a consultation and bone scan a treatment plan was agreed. The top teeth were to be removed and replaced with the All in 4 Nobel Biocare Implant system. The missing lower back teeth to be replaced with implants and lower front teeth treated by a course of Hygienist appointments.

“My previous practice said there was no bone structure or hope and I was destined to loose my teeth and smile. I also suffered breath issues. The treatment process was complicated due to the lack of bone structure, but with the skill and patience of the dentist and a one day surgery (which was painless) I recovered to have all my dental issues gone and a smile that I no longer hide.” Steve.

Missing Tooth

Helen was missing her right lateral tooth and was unhappy with the appearance of her front teeth. A bridge was made to replace the missing tooth and was supported by crowning the front right tooth and replacing the crown on her right canine. Her front left tooth was veneered to straighten its appearance and give this fantastic result.

“I would thoroughly recommend Dr Yasir and team, I have always found them to be accommodating, friendly and efficient. My treatment was discussed and explained clearly including the anticipated cost. I am so happy with the outcome of my treatment.” Helen

Missing Tooth
Replacement Crowns

Replacement Crowns

This lady was unhappy with the appearance of her old crowns due to gum recession and overall uneven look. She was also looking to fill a gap due to a missing upper left premolar. We replaced the crowns, fitted a bridge upper left and then veneered the right canine and right second premolar to create a very aesthetically pleasing smile with minimum invasion.

“I am so glad that I decided to have the work done on my teeth. Before I was so embarrassed when I smiled but now nothing can wipe the smile off my face! I can’t thank you all enough.”

New Smile

Yvonne was looking to improve the appearance of her teeth. She underwent treatment with the hygienist to improve the health of her gums and remove all superficial stains and scale from her teeth. She then had a series of whitening treatments and finally three crowns and four veneers realigning the teeth and blending with the lighter shade of her whitened natural teeth, giving a fantastic result.

‘I had very bad top teeth which have been transformed, I was kept informed at all times and treated very well. The results are amazing and I can now smile with confidence.” Yvonne.

New Smile