Beaulieu Square, 11 Centenary Way, Chelmsford CM1 6AU
Call Now WhatsApp
Our treatments

Dental Crowns

A dental crown is a tooth-shaped “cap” that is placed over a tooth – to cover the tooth to restore its shape and size, strength, and improve its appearance. These are available in metal gold or ceramic. When cemented into place, fully encase the entire visible portion of a tooth that lies at and above the gum line.

What is a Dental Crown?

A dental crown is a custom-made restoration designed to strengthen and protect a damaged or weakened tooth while restoring its natural appearance. Acting as a tooth-shaped “cap,” it fits securely over the existing tooth structure to rebuild its shape, size, and strength. Dental crowns are commonly used after root canal treatment, to protect cracked teeth, or to improve the appearance of discoloured or misshapen teeth.

Crowns can be crafted from a variety of materials, including durable metal alloys such as gold or natural-looking ceramics that blend seamlessly with your surrounding teeth. Once cemented into place, the crown fully covers the visible portion of the tooth above the gum line, providing lasting protection and a smooth, natural finish that restores both function and confidence in your smile.

What is a Dental Crown?

Before & After Results

See the amazing transformations our patients have achieved with our expert care and advanced treatments.

Before
After
BEFORE
AFTER

Comprehensive Dental Care

Reinforcing oral hygiene, gum treatment, as well as restorative treatment to enhance excellent dental health.

Before
After
BEFORE
AFTER

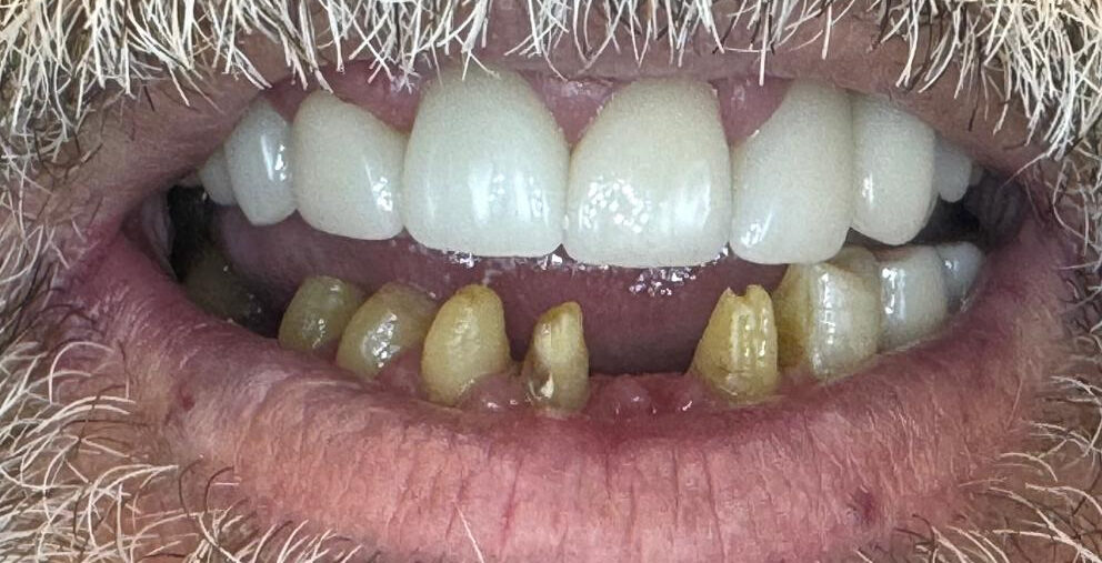
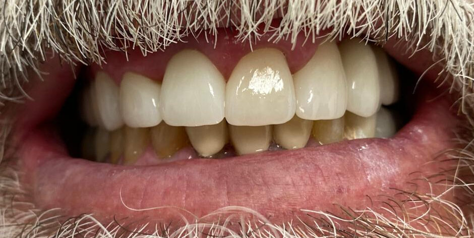
Replacement of old crowns

Three crowns were fitted on the front teeth to replace the old crowns, which had developed decay.

Before
After
BEFORE
AFTER

Lower Front Crowns

Restoring aesthetics and function of lower incisors with ceramic crowns

Before
After
BEFORE
AFTER

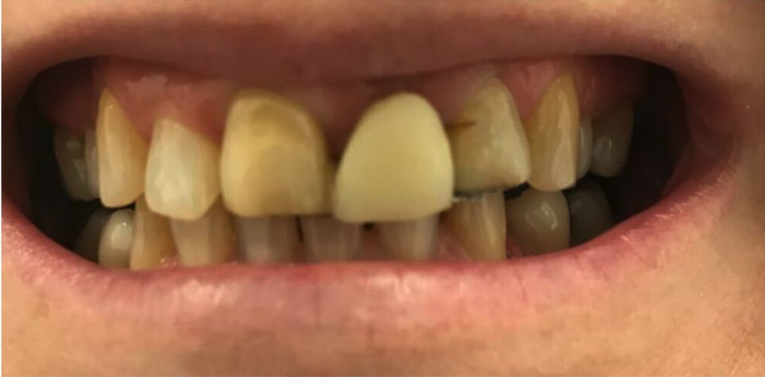
Fractured upper incisors

Ceramic Crown used to restore the shape and look of two front teeth.

Frequently Asked Questions

Frequently Asked Questions

A dental crown may be needed in the following situations:

  1. To protect a weak tooth (for instance, from decay) from breaking or to hold together parts of a cracked tooth
  2. To restore an already broken tooth or a tooth that has been severely worn down
  3. To cover and support a tooth with a large filling when there isn’t a lot of tooth left
  4. To hold a dental bridge in place
  5. To cover miss shaped or severely discoloured teeth
  6. To cover a dental implant
  7. To make a cosmetic modification

Permanent crowns can be made from all metal (such as gold or another alloy), porcelain-fused-to-metal or all ceramic.

Metals used in crowns include alloys that have a high content of gold or platinum, or base-metal alloys (for example, cobalt- chromium and nickel-chromium alloys). Metal crowns withstand biting and chewing forces well and probably last the longest in terms of wear down. Also, metal crowns rarely chip or break.   Metal crowns are a good choice for out-of-sight molars.

Gold crowns are made from gold or gold alloy and are highly durable, making them ideal for back teeth that endure heavy chewing. They fit precisely, are gentle on opposing teeth, and are well-tolerated by gums. However, they are more expensive than other crowns due to the high cost of gold, and their metallic colour makes them less suitable for front teeth.’

Porcelain-fused-to-metal dental crowns can be colour matched to your adjacent teeth (unlike the metallic crowns). However, more wearing to the opposing teeth occurs with this crown type compared with metal crown. The crown’s porcelain portion can also chip or break off. Next to all-ceramic crowns, porcelain-fused-to-metal crowns look most like normal teeth. However, sometimes the metal underlying the crown’s porcelain can show through as a dark line, especially at the gum line and even more so if your gums recede. These crowns can be a good choice for front or back teeth as well as long bridges where the metal is needed for strength.

All-ceramic or all-porcelain dental crowns provide better natural colour match than any other crown type and may be more suitable for people with metal allergies. All-ceramic crowns can be used for front and back teeth.

Temporary versus permanent. Temporary crowns can be made in your dentist’s office, whereas most permanent crowns are typically made in a dental laboratory. Typically, temporary crowns are made of an acrylic-based material until a permanent crown is constructed by a lab.

Preparing a tooth for a crown usually requires two visits to the dentist – the first step involves examining and preparing the tooth, the second visit involves placement of the permanent crown.

First visit: Examining and preparing the tooth
At the first visit in preparation for a crown, your dentist may take a few X-rays to check the roots of the tooth receiving the crown and surrounding bone. If the tooth has extensive decay or if there is a risk of infection or injury to the tooth’s pulp, a root canal treatment may first be performed.

Before the process of making a crown begins, your dentist will anesthetize (numb) the tooth and the gum tissue around the tooth. Next, the tooth receiving the crown is reshaped along the chewing surface and sides to make room for the crown. The amount removed depends on the type of crown used. If, on the other hand, a large area of the tooth is missing (due to decay or damage), your dentist will use filling material to “build up” the tooth to support the crown.

After your tooth is prepared, a digital scan will be taken using either our Trios or iTero scanner. This scan is then sent to a dental laboratory, where your permanent crown will be custom-made. The finished crown usually returns to the practice within two to three weeks. If your crown is made of porcelain, your dentist will also select a shade that closely matches the colour of your surrounding teeth to ensure a natural look. In the meantime, a temporary crown will be placed using a temporary resin and cement to protect your tooth until your next appointment.’

‘At the second visit, your dentist will remove the temporary crown and check the fit and colour of the permanent crown. If everything is acceptable the new crown is permanently cemented in place.

Because temporary dental crowns are just that — a temporary fix until a permanent crown is ready — most dentists suggest that a few precautions. These include:

  • Avoid sticky, chewy foods (for example, chewing gum, caramel), which have the potential of grabbing and pulling off the crown.
  • Minimise use of the side of your mouth with the temporary crown. Shift the bulk of your chewing to the other side of the mouth.
  • Avoid chewing hard foods (such as raw vegetables), which could dislodge or break the crown.
  • Slide rather than lift out dental floss when cleaning between your teeth to avoid pulling off the temporary crown.

Discomfort or sensitivity: Your newly crowned tooth may be sensitive immediately after the procedure as the anaesthesia begins to wear off. If the tooth that has been crowned still has a nerve in it, you may experience some heat and cold sensitivity. Your dentist may recommend that you brush teeth with toothpaste designed for sensitive teeth. Pain or sensitivity that occurs when you bite down usually means that the crown is too high on the tooth. If this is the case, call your dentist. He or she can easily fix the problem.

Chipped crown: Crowns made of all porcelain or porcelain fused to metal can sometimes chip. If the chip is small, a composite resin can be used to repair the chip with the crown remaining in your mouth. This is usually just a temporary fix. If the chipping is extensive, the crown may need to be replaced.

Loose crown: Sometimes the cement washes out from under the crown. Not only does this allow the crown to become loose, but it also allows bacteria to leak in and cause decay to the tooth that remains. If a crown feels loose, contact your dentist’s office.

Crown falls off: Sometimes crowns fall off. Reasons include decaying of the underlying tooth and loosening of the cementing material used to place the crown. If your crown comes off, contact the practice immediately. We will give you specific instructions on how to care for the tooth and crown for the day or so until you can be seen for an appointment. Your dentist may be able to re-cement the crown in place; if not, a new crown will need to be made.

Allergic reaction: Because the metals used to make crowns are usually a mixture of metals, an allergic reaction to the metals or porcelain used in crowns can occur, but this is extremely rare.
Dark line on crowned tooth next to the gum line: A dark line next to the gum line of your crowned tooth is normal, particularly if you have a porcelain-fused-to-metal crown. This dark line is simply the metal of the crown showing through. While not a problem, the dark line is cosmetically unacceptable, and your dentist may have to replace the crown with an all porcelain or ceramic one.

Onlays and 3/4 crowns are variations on the technique of dental crowns. The difference between these crowns and the crowns discussed previously is their coverage of the underlying tooth. The “traditional” crown covers the entire tooth; onlays and 3/4 crowns cover the underlying tooth to a lesser extent.

On average, dental crowns last between five and 15 years. The life span of a crown depends on the amount of “wear and tear” the crown is exposed to, how well you follow good oral hygiene practices, and your personal mouth-related habits (you should avoid such habits as grinding or clenching your teeth, chewing ice, biting fingernails, and using your teeth to open packaging).

While a crowned tooth does not require any special care, remember that simply because a tooth is crowned does not mean the tooth is protected from decay or gum disease. Therefore, continue to follow good oral hygiene practices, including brushing your teeth at least twice a day, and flossing daily.

Book your appointment

    I agree to the Privacy Policy*