Beaulieu Square, 11 Centenary Way, Chelmsford CM1 6AU
Call Now WhatsApp
Our treatments

Dental Implants

Begin your journey to a confident and beautiful smile by getting in touch with our dentists today

Dental implants are a fixed, natural-looking solution for missing teeth — designed to look, feel, and function just like your own. Whether you’ve lost one tooth or several, implants provide a strong foundation for long-lasting comfort, improved chewing, and renewed self-assurance.

Discover how our advanced implant treatments can help you smile, speak, and eat with ease again.

Your care in expert hands

Dr Yasir Saeed is an experienced dentist with advanced expertise in dental implant surgery. After completing a Postgraduate Diploma in Implant Dentistry from University College London (UCL), he has built an impressive portfolio of both simple and complex implant cases, including full-mouth restorations.

As the principal dentist at Beaulieu Dental and Wickham Market Dental Practice, Dr Saeed is known for his precision, attention to detail, and commitment to achieving exceptional results. His calm and caring approach helps patients feel relaxed, informed, and confident throughout their treatment.

Your care in expert hands

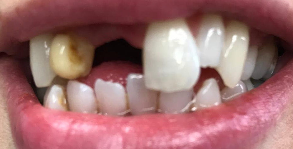
Before & After Results

See the amazing transformations our patients have achieved with our expert care and advanced treatments.

Before
After
BEFORE
AFTER

Full Arch Implants

Full arch fixed to 4, 5, or 6 implants

Before
After
BEFORE
AFTER

Single Front Implant

Upper right central incisor

Before
After
BEFORE
AFTER

Incisor Implant

Missing front incisor

Before
After
BEFORE
AFTER

Full Arch on 5 Implants

'All on X'

Before
After
BEFORE
AFTER

Full Arch on 6 implants

Upper arch (All on XI)

Before
After
BEFORE
AFTER

Two Front Implants

Upper right central and lateral incisors

Before
After
BEFORE
AFTER

Front Implants-Bridge

Multiple teeth replaced using a bridge fixed by implants

What are the Pros and Cons of Dental Implants

Pros

  • Dental implants provide a natural-looking finish to your smile and function like a natural tooth.
  • Implants are a fixed and long-term solution to replacing missing teeth.
  • Implants will act like a tooth, providing strong and stable function, so that you can continue to enjoy foods.
  • Implants can prevent bone loss after tooth extraction as dental implants stimulate the jaw like natural teeth, and prevent the jawbone beneath from shrinking.
  • Unlike other dental treatments, implants do not require teeth to be prepared beforehand.

Cons

  • As the best and most natural solution to restoring your smile, the procedure can be more expensive than other solutions.
  • Dental implant treatment can take longer than other solutions, as your mouth will need to heal between the implant and the dental crown being fitted.
  • If you do not have enough natural jawbone to support the implant, you might need supporting procedures such as a bone graft, which can add time and have additional costs.
  • Your healing power can directly affect the success of implant placement – this is linked to your general health.
  • The stability of the implant can also be affected by habits such as smoking, clenching, and oral hygiene.
Book your Dental Implant Treatment with Beaulieu Dental Today!

Book your Dental Implant Treatment with Beaulieu Dental Today!

Our expert dental team specialise in dental implant treatment, using advanced dental technology and high-quality materials to restore and enhance your natural smile. As the best solution to replace missing or loose teeth, with dental implants we can achieve your ideal smile.

Our team is here to guide you through the process and answer any questions you may have, so get in touch with us today by completing the form or calling us on:

01245 465 586.

What to Expect from Your Implant Visit

At Beaulieu Dental, we’re dedicated to making your dental implant journey comfortable and stress-free from start to finish. Most treatments are completed in around three appointments.

Consultation & Planning:
Dental implants are a long-lasting solution for missing or loose teeth, restoring both function and appearance. During your consultation, we’ll assess your suitability and create a personalised treatment plan based on your goals.

Procedure & Healing:
In most cases, implants don’t require tooth preparation. If bone loss has occurred, a bone graft may be needed to ensure stability. The implant is then placed under local anaesthetic, with sedation available if you feel anxious. After placement, a healing period of about three months allows the implant to fuse securely with the bone before fitting your custom crown. Mild soreness is normal for a few days, and most patients return to normal activities within a week.

What to Expect from Your Implant Visit

Treatment Cost

At Beaulieu Dental, the prices for dental implants start from £2,400 per tooth, including restoration. To learn more, call us today at 01245 465 586.

What are the alternatives to Dental Implants

Dental implant treatment is an effective and optimal solution for missing or loose teeth, however, it may not be for everyone. We recommend the following alternatives to help you achieve a similar natural-looking solution.

Dental Bridging 
A dental bridge is a fixed dental restoration used to replace one or missing teeth by ‘bridging’ the gap between teeth to restore function and appearance.

Dentures
A denture is a removable replacement for missing teeth and surrounding tissues.
There are two types available – complete and partial dentures.

Frequently Asked Questions

Frequently Asked Questions

Dental implants are a long-term solution and have the highest survival rate of any tooth replacement option.

Typically, for non-smokers, around 90–95% of dental implants can last for many years with the appropriate care. For smokers, the success rate is approximately 60–80%, depending on certain factors

Dental implants can:

  • Restore missing or failing teeth
  • Improve your ability to speak
  • Improve your ability to chew
  • Restore your smile

While most adults are suitable for dental implant treatment, certain lifestyle habits or medical treatments can affect the treatment. Our experienced dental team will ensure to first review the treatment with you and check if you are suitable before proceeding.

For the best chance of long-term success for your implant, you will need to:

  • If applicable, cut down on smoking
  • Have a good oral hygiene routine (Regularly brushing and flossing.

See a Dental Hygienist every three to six months to minimise any bacteria and plaque buildup

While the treatment process from start to finish can take an average of four months to complete for simple cases, the actual procedure can take as little as fifteen minutes.

If you have a more complex case, such as needing a full mouth of implants and large amounts of bone adding, then appointments can take up to three hours and from start to finish, the process can take up to 16 months.

If you are missing all your teeth in one arch, we can place full mouth implants. We can also look to do a denture that clips onto implants.

Book your appointment

    I agree to the Privacy Policy*