Beaulieu Square, 11 Centenary Way, Chelmsford CM1 6AU
Call Now WhatsApp
Our treatments

Discover the power of Invisalign smile

Invisalign is the process of wearing a series of clear, removable aligners that gradually straighten your teeth. No brackets and wires, and none of the restrictions that come with metal braces.

Prices from £2,700-£3,100

Invisalign Diamond Apex Provider

Being an Invisalign Elite Provider means our team ranks among the top Invisalign practitioners worldwide. This recognition is awarded to clinics with extensive experience and proven success in helping patients achieve beautiful, confident smiles using Invisalign.

We’re proud to hold the Diamond Apex Invisalign Award — the highest level of distinction Invisalign offers. This reflects  our commitment to excellence, precision, and patient satisfaction.

Invisalign Diamond Apex Provider

Great Results with Dr. George Papadakis

Invisalign Elite Provider and a Diamond Apex Award Holder 

Dr George Papadakis is an Invisalign Elite Provider and a Diamond Apex Invisalign Award Holder for treating more than 600 cases every single year. By using a digital iTero scanner which shows you a simulation of your smile before and after braces your straight teeth journey will be one to remember and it is an experience rather than a treatment. You will leave the practice with a more confident, brighter and straighter smile. We use the best up-to-date equipment and methods to get you the very best results that are truly long last lasting. Once the teeth have been straightened using Invisalign clear aligners, your teeth can be further improved using teeth whitening and Composite Bonding or Veneers. Come in to see Dr George for your bespoke dental needs in a relaxed and friendly environment. Dr George Papadakis is an Invisalign Elite Provider and a Diamond Apex Invisalign Award Holder for treating more than 600 cases every single year.

Great Results with Dr. George Papadakis

What is Invisalign?

If you’ve been exploring orthodontic options, you’ve probably come across Invisalign — a modern and discreet alternative to traditional braces. While conventional braces are highly effective, their visible metal brackets and wires often make patients hesitant to start treatment.

At Beaulieu Dental, we understand the importance of feeling confident throughout your smile journey. That’s why we offer Invisalign clear aligners – virtually invisible, comfortable, and removable trays that gently move your teeth into their ideal position. You can achieve the same beautiful results as traditional braces, without compromising your appearance or lifestyle during treatment.

Before & After Results

Before
After
BEFORE
AFTER

Invisalign

Before
After
BEFORE
AFTER

Invisalign

Before
After
BEFORE
AFTER

Invisalign

Before
After
BEFORE
AFTER

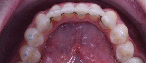
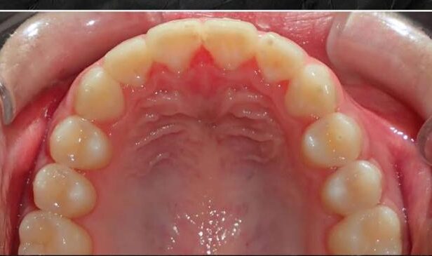
Severe Crowding

Upper front teeth realigned using invisalign series of aligners without removing any teeth.

Before
After
BEFORE
AFTER

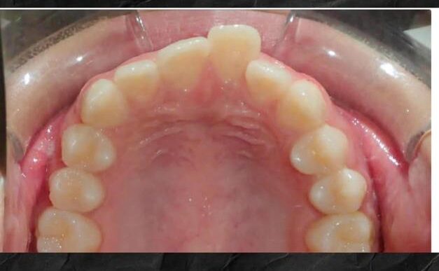
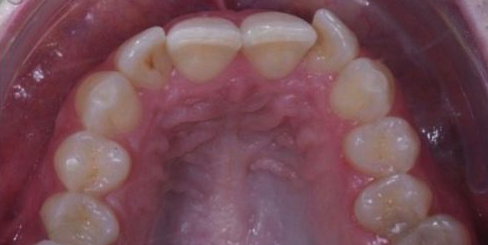
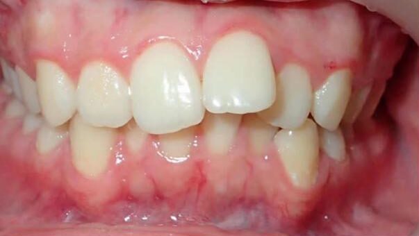
Upper incisor

Orthodontic treatment done on upper front teeth and also expanded the arch into a uniform curve.

Before
After
BEFORE
AFTER

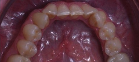
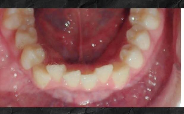
Lower severe crowding

Lower front teeth tend to respond very well to orthodontic treatment using invisalign

Is Invisalign for you?

Is Invisalign for you?

Discover a Clear Path to a Better Smile
Invisalign offers a modern, discreet way to straighten your teeth without the hassle of metal braces. Using custom-made, nearly invisible aligners, you can achieve the smile you’ve always wanted — comfortably and confidently.


Perfect for Your Lifestyle
Whether you’re a busy professional, a student, or just prefer a subtle approach to orthodontics, Invisalign fits easily into your daily routine. The aligners are removable, so you can eat, brush, and live life without interruption.


Who Is a Good Candidate?
Invisalign can correct many common dental issues, including crowding, gaps, and mild to moderate bite problems. A consultation can help determine if Invisalign is the right choice for your smile goals.


Your Journey Starts Here
Every smile is unique — and so is every Invisalign treatment plan. Take the first step toward a confident, straighter smile by scheduling a personalised consultation today.

Before & After Results

See the amazing transformations our patients have achieved with our expert care and advanced treatments.

Before
After
BEFORE
AFTER

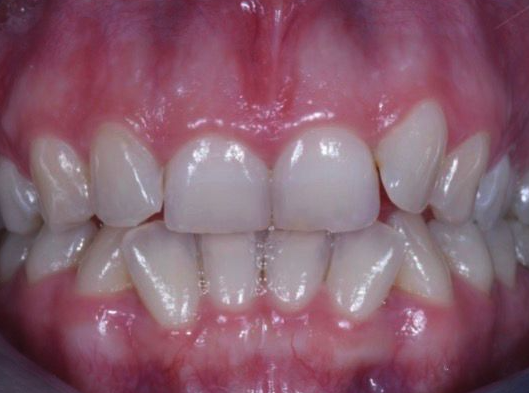
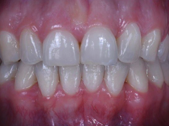
Invisalign and Composite Bonding

This is a case of toothwear caused by teeth crowding. Orthodontic treatment helped to restore the aesthetic and function of the front teeth.

Book Your Invisalign Consultation

    I agree to the Privacy Policy*