Beaulieu Square, 11 Centenary Way, Chelmsford CM1 6AU
Call Now WhatsApp
Our treatments

Cosmetic Porcelain Veneers

Porcelain veneers are thin, custom-made shells designed to cover the front surface of your teeth, improving their colour, shape, and overall appearance. They’re an excellent option for correcting chipped, stained, uneven, or slightly misaligned teeth.

Made from durable porcelain material, veneers blend seamlessly with your natural teeth for a bright, natural-looking smile. The procedure is minimally invasive and delivers long-lasting results, giving you a confident, radiant smile you’ll love to show off.

available from £670

What are Porcelain Veneers?

Porcelain Veneers, are wafer-thin, custom-made shells designed to cover the front surface of teeth to restore and enhance your natural smile.

The shells are bonded to the front of the tooth, changing the tooth’s colour, shape, size, or length, and are made from tooth-coloured materials for a natural finish. This treatment is a quick and effective solution for covering up imperfections such as chips, cracks, and stains, and with the proper care, Porcelain veneers can last for many years.

What are Porcelain Veneers?

What are the Pros and Cons of Porcelain Veneers

Pros

  • Porcelain Veneers provide a natural-looking and realistic finish to repair and enhance your smile.
  • Gum tissue responds well to porcelain materials, for a faster recovery period.
  • Porcelain veneers are stain resistant and more durable than composite bonding.
  • Porcelain Veneers are a long-lasting cosmetic solution if taken care of properly.

Cons

  • In most cases, the enamel on the front of the tooth will need to be prepared before treatment. This means the teeth will be permanently altered.
  • In some cases, patients can experience increased sensitivity after having the treatment.
  • While Porcelain veneers are very tough and durable, they could break when exposed to strong impact.

Book your Porcelain Veneers Treatment with Beaulieu Dental Today!

Our expert dental team specialise in Porcelain veneers, using advanced dental technology and high-quality materials to restore and enhance your natural smile. As a non-invasive solution for a wide range of dental imperfections, you can achieve your ideal smile in just one visit. Our team is here to guide you through the process and answer any questions you may have, so get in touch with us today by completing the form or calling us on 01245 465 586.

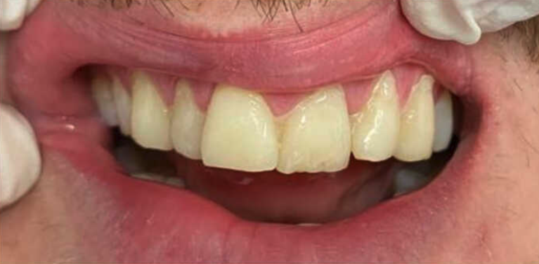
Before & After Results

Before
After
BEFORE
AFTER

Porcelain Veneers

“This patient expressed dissatisfaction with the appearance of their smile. Following a successful initial consultation with our practitioners, we determined that Porcelain veneers were the most suitable solution for enhancing their smile. The teeth were minimally prepared and an i-tero intraoral scan was performed. These scan results were then sent to our lab to create custom-made veneers. During the final appointment, we fitted the new veneers, resulting in a transformation of their natural smile and a restoration of their confidence.”

What to Expect from Your Dental Visit

Dedicated to providing you with a comfortable and stress-free experience, you can relax and enjoy your smile transformation with Beaulieu Dental. When you arrange a consultation for Porcelain veneers, you can expect around three appointments.

Diagnosis and Treatment Planning:

Firstly, our dental professional will sit down with you and talk through what result you are wanting to achieve from the treatment. During this appointment, your dentist will also do a routine check-up and examine your teeth to ensure the treatment is appropriate for you. They will also discuss what the procedure will involve and some of its limitations, and they will take X-rays or make impressions of your mouth and teeth.

Preparation:

To prepare a tooth for a Porcelain veneer, the dentist will reshape the tooth surface, and then your dentist will take a scan of your teeth which will be sent out to our dental laboratory, where your veneer will be constructed. This can usually take 2-4 weeks, and in the meantime, temporary dental veneers can be applied for unsightly teeth

Bonding:

Before the Porcelain veneer is permanently cemented to your tooth, your dental professional will temporarily place it on your tooth to examine its fit and colour. They will then repeatedly remove and trim the veneer as needed to achieve the proper fit, and its colour can be adjusted to match the shade of your teeth for a natural finish. The final step will involve making any final adjustments as necessary and evaluating your bite. Your dentist may ask you to return for a follow-up after an appropriate amount of time to check how your gums are responding to the veneer.

Ready to transform your smile?

Contact us today to discuss your dental needs.

Treatment Cost

At Beaulieu Dental, the prices for Porcelain veneers start from £670 per tooth. For more information, call us today at 01245 465 586.

Frequently Asked Questions

Frequently Asked Questions

Porcelain Veneers can last for many years with the correct aftercare and maintenance.

Porcelain veneers are routinely used to fix:

  • Teeth that are discoloured
  • Teeth that are worn down
  • Teeth that are chipped or broken
  • Teeth that are misaligned, uneven, or irregularly shaped
  • Teeth with gaps between them

Porcelain veneers do not require any special care. Following good oral hygiene practices, including brushing and flossing will help to keep your mouth clean and healthy.

Although porcelain veneers resist stains, your dentist may recommend that you avoid foods and beverages that can cause stainings, such as coffee, tea, or red wine.

Book your appointment

    I agree to the Privacy Policy*